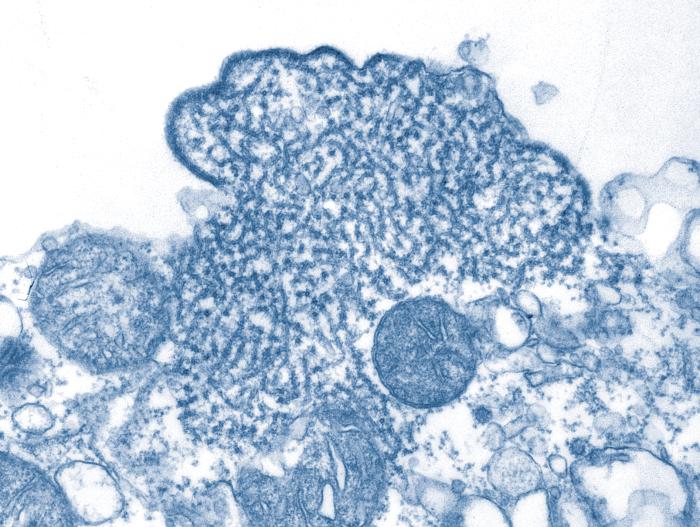
Роспотребнадзор отслеживает распространение вируса Нипах в Индии


Роспотребнадзор мониторит эпидемическую обстановку с вирусом Нипах в Индии, случаев заноса инфекции на территорию России не зафиксировано, сообщило 25 января ведомство в Telegram-канале.
Ранее СМИ сообщали, что власти Индии предпринимают меры по сдерживанию распространения смертельно опасного вируса Нипах, число заболевших достигло пяти человек, около ста были помещены на карантин. Всемирная организация здравоохранения оценивает вирус Нипах как один из самых опасных патогенов, против которого не существует ни вакцин, ни эффективных лекарственных средств.
В пресс-службе отметили, что по информации СМИ в Индии принимаются меры по локализации очага инфекции в штате Западная Бенгалия, где зарегистрировано пять заболевших. Ведомство контролирует ситуацию и подтверждает отсутствие случаев завоза вируса Нипах в Россию.
Напомним, вирус Нипах (NiV) был впервые выявлен в период с сентября 1998 по май 1999 года в Малайзии, в районе Сунгай-Нипах, где его изначально принимали за японский энцефалит. В марте 1999 года вирус получил название по месту обнаружения. Источником инфекции стали свиньи, зараженные летучими лисицами, что привело к гибели более ста человек и уничтожению более миллиона свиней.
В 2001 году вирус впервые зарегистрировали в Индии (Силигури) и Бангладеш (Мехерпур), где выявлен путь передачи через сок финиковой пальмы, загрязненный летучими мышами. В последующие годы в Бангладеш отмечались регулярные сезонные вспышки с подтвержденной передачей вируса от человека к человеку.
С 2018 по 2023 год вспышки происходили в индийском штате Керала, где самая крупная в мае 2018 года унесла жизни 17 из 19 заболевших. Власти вводили карантинные меры и закрывали школы в пострадавших районах. В 2024 году активность вируса возросла в Азии: в Бангладеш была зафиксирована высокая смертность, связанная с употреблением сырого пальмового сока, а в Керале власти применяли масочный режим после новых случаев смерти.
В мае 2025 года Всемирная организация здравоохранения включила вирус Нипах в список патогенов с пандемическим потенциалом, требующих разработки вакцин. С октября 2025 года начались клинические испытания новых противовирусных препаратов на базе мРНК-технологий, разработанных компаниями Moderna и Оксфордским университетом. В январе 2026 года в Бангладеш зафиксировали первые случаи сезона 2025/2026, при этом наблюдается расширение ареала летучих лисиц-носителей вируса из-за климатических изменений.